南京耳鼻喉医院好不好

专业耳鼻喉诊疗医院 南京市医保定点机构
健康热线 025-85262032

关于仁品

南京仁品耳鼻喉医院图

作为华东地区具有完整意义的专业耳鼻喉医院--南京仁品耳鼻喉专科医院,诞生于中国六朝古都--南京。无论在人才储备还是在硬件设备上均达到了行业专业水准...[详情]

医师风采

在线预约

  1. 025-85262032全天候免费咨询热线
  2. 08:30-17:00医院节假日不休
  3. 17:00-19:30医院夜门诊时间
  4. 医院地址南京市秦淮区中华路528号

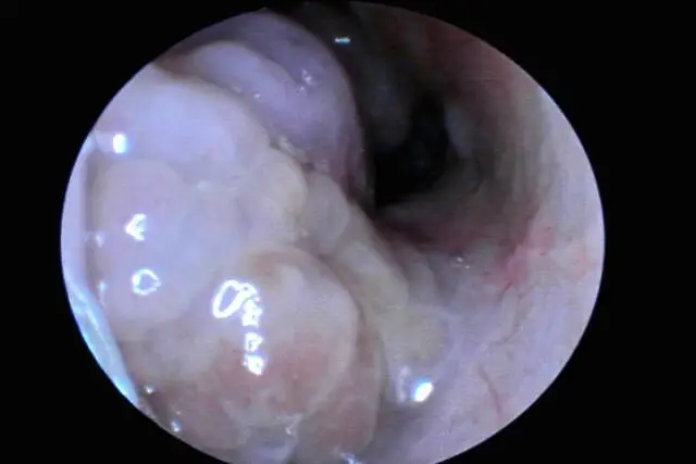
南京耳鼻喉科医院_老年人鼻息肉治疗指南

来源:南京仁耳鼻喉医院 发布日期:2025-10-29 10:07 浏览:171次
南京耳鼻喉科医院_老年人鼻息肉治疗指南
 
鼻息肉虽非重大疾病,却会引发鼻腔分泌物增多、鼻塞等症状,严重影响老年人的日常生活与作息。临床中,药物治疗和手术治疗均能有效应对鼻息肉,结合老年人的身体特点,选择合适的治疗方案尤为关键。
手术治疗:适用于重症,但需严格评估
 
当鼻息肉体积较大、完全堵塞鼻腔,导致呼吸严重受阻时,可考虑手术切除。手术能直接清除息肉,从根源上解决鼻塞问题。但该方案对老年人有明确限制:术前需排查呼吸道、心血管等基础疾病,确认身体条件允许;且老年人恢复能力较弱,术后恢复期较长,还可能因基础病增加并发症风险,因此一般不优先推荐。
 
药物治疗:轻症首选,稳定易耐受
 
药物治疗以鼻内使用肾上腺皮质激素为主,核心作用是消退鼻腔黏膜炎症,减少或消除鼻息肉,同时延缓复发。该方案无需创伤性操作,适配老年人的身体耐受度,尤其适合鼻息肉症状较轻、未严重影响呼吸的情况,是老年人鼻息肉的首选治疗方式。
 
老年人治疗鼻息肉,需结合息肉大小、症状严重程度及基础病情况综合判断。能通过药物控制的,优先选择保守治疗;仅在息肉严重堵塞呼吸道、药物无效时,再经全面体检后谨慎选择手术。

如果您还有其他疑问,或是想获取专业的治疗建议,可点击在线咨询医生,或拨打仁品咨询问诊电话:025-85262032,会有专人为您答疑解惑,网上预约还可享受挂号优惠!

医院地址

医院地址:南京秦淮区中华路528号

南京秦淮区中华路528号